OpalDam Green
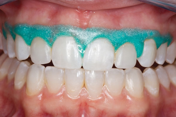
Ultradent Products has introduced the new OpalDam Green gingival resin barrier. OpalDam Green is a unique, light-reflective and passively adhesive light-cured resin. It creates a barrier between the soft and hard tissues, preventing migration of irritants towards the gingiva and moisture towards the teeth. Once the procedure is completed, OpalDam Green is easily removed from gingiva and undercuts. Its green colour contrasts well with red gingival tissues and yellowish-white teeth, clearly identifying its position and extent, allowing more effective placement.
Manufacturer
Sponsored Links...
Upcoming Events... |
|---|
|
Nov 05 2025
ITI Congress MexicoMérida, MEXICO |
|
Nov 06 2025
|
|
Nov 07 2025
ITI Congress ItalyBologna, ITALY |
|
Nov 08 2025
CDSS 2025Singapore, SINGAPORE |
|
Nov 14 2025
IDEC 2025 - Indonesia Dental Exhibition & ConferenceJakarta, INDONESIA |
|
Nov 20 2025
MCDC 2025 - Annual Mid-Continent Dental CongressSt Louis, USA |
|
Nov 28 2025
Greater New York Dental Meeting 2025 (GNYDM) - 101st Annual SessionNew York City, USA |
|
Dec 05 2025
8th Dental Expo 2025Lahore, PAKISTAN |
|
Apr 17 2026
IDEM Singapore 2026Singapore, SINGAPORE |
|
May 20 2026
ASO 2026 - The 30th Australian Orthodontic CongressMelbourne, AUSTRALIA |
|
May 29 2026
Digital Dentistry & Dental Technology 2026Sydney, AUSTRALIA |
|
Nov 27 2026
Greater New York Dental Meeting 2026 (GNYDM) - 102nd Annual SessionNew York City, USA |
|
Nov 26 2027
Greater New York Dental Meeting 2027 (GNYDM) - 103rd Annual SessionNew York City, USA |
|
Nov 24 2028
Greater New York Dental Meeting 2028 (GNYDM) - 104th Annual SessionNew York City, USA |




Monday, 27 October, 2025